#코로나 경각심 필요
안녕하세요 여러분~~
아무래도 상반기의 신천지 사태에 이어
다시 코로나에 따른 확산세가 늘어나고 있어
관련 소식을 많이 접하고 있는 요즘이에요.
이전에도 코로나에 후유증에 관련한
글을 포스팅한적이 있는데요.
무서운 코로나 후유증
#완치되어도 무섭다! 안녕하세요 여러분~ 오늘은 요즘 다시 확산세를 일으켜 매일 확진자 수가 급증하고 있어 문제인 코로나에 관한 이야기를 할까합니다. 위의 사진을 보신분들이 있을지 모르�
smilesssun.com
그 글에서도 말했지만 우리나라 사람들은
코로나의 위험성에 대하여 그다지
심각하게 생각하고 있지 않다는 느낌을 받았어요.
그러다 최근에 들어서야 국내에서도
코로나의 완치자가 직접 말하는 후유증 등
심각한 후유증에 관한 이야기가 나오기 시작하고
코로나 위험성에 관련한 이야기가 나오긴 하지만
지금도 뉴스나 대중매체에는 크게
비춰지지 않는 부분입니다.
저는 개인적으로 이런 사항일수록
더더욱 알려져야 한다고 생각해요.

사회적 거리두기 단계에 따라
그저 국가에서 시행하는 물리적 조치가 내려져
마지못해 그것을 따르는것이 아닌
코로나에 관한 경각심을 가져
사람들이 자발적으로 코로나를
예방하고자 하는 움직임이 중요한 것이죠.
그래서 오늘은 코로나와 관련해
우리보다 더욱 먼저 그 위험성을 알렸던
해외의 사례를 들어 이야기해보려합니다.
#코로나 합병증에 의한 사망

해외에서는 이미 코로나 합병증에 의하여
다리절단을 하고 그에 의해 사망한 사례까지 있는데요.
이것이 일반인이 아닌 유명인이라서
더욱 놀라울수도 있는 사실입니다.
'토니상' 후보에도 올랐었던
미국 유명 뮤지컬 배우인 니고 코더로(41)는
코로나19 바이러스에 따른 합병증으로
지난 4월에 오른쪽 다리를 절단했었습니다.
그는 폐렴 증상으로 입원해 코로나 확진 판정을 받았고
이후 급속도로 건강상태가 악화되어
중환자실에서 인공호흡기를 착용한
상태로 치료를 받았었다고 합니다.
그러던 중 오른쪽 다리에게 피가 굳는
혈전 현상이 발생했고 혈전 응고 억제제를
투여했으나 그 부작용으로 결국
다리를 절단하는 사태에 이르렀었죠.
코더로는 그 후 지속적인 치료를 받았지만
폐가 이미 심하게 손상되어 폐 감염과
패혈성 쇼크같은 코로나에 따른 추가
합병증에 시달리다가 지난 7월 6일
감염 95일만에 결국 생을 마감했다고 합니다.

그는 비평가 그룹이 선정한 외부비평가상을
받았을 정도로 실력을 인정받는 스타였는데요.
젊은 나이에, 또 3달이 조금 넘는 시간동안
상태가 악화되어 사망까지 갔다는 소식이
정말 충격적인 이야기 입니다.
유명 스타이기에 더 알려졌겠지만
누구에게나 일어날 수 있는 일임을
알려주게한 하나의 사건이겠지요.
#혈전생성과 뇌손상까지..
해외에서는 이런 코로나에 관한
심각성을 보도한 뉴스가 굉장히 많았는데요.
위의 닉 코더로는 혈관 내에서 피가 굳어 생기는
혈전 때문에 오른쪽 다리를 절단했다고 했었죠.
미국 루이지내아 주립대가 4월에 공개했던
코로나19에 의해 사망한 사망자의 폐 검사결과에서는
미세한 혈전이 수천 개 발견됐었다고 합니다.

실제로 코로나 19는 우리가 보통 생각하듯이
폐같은 호흡기 계통만 건드리는게 아니라
혈전(핏덩어리)생성에도 깊이 관여한다고 합니다.
미국에서는 사망자 87명의 폐,
34명의 뇌, 41명의 심장을 부검한 결과
사망자들의 골수나 폐에만 존재하는 거핵세포가
다른 장기들에서도 많이 발견됐다고 하는데요.
거핵세포는 혈소판을 만드는 세포로
거핵세포가 많아지면 혈소판의 작용을 증폭하여
혈전을 만들어내게 되는 것입니다.
해외의 일부 병원에서는 코로나19 사망자 중
절반에 가까운 사람이 혈전 때문에
사망했다는 사실도 있고, 미국-유럽-중국의
연구 결과에서는 코로나19환자중 3~7%가
혈전이 생겼다는 결과도 나왔습니다.
혈전은 원활한 혈액 순활을 방해하기 때문에
각종 합병증으로 이어지기 좋은 이유입니다.

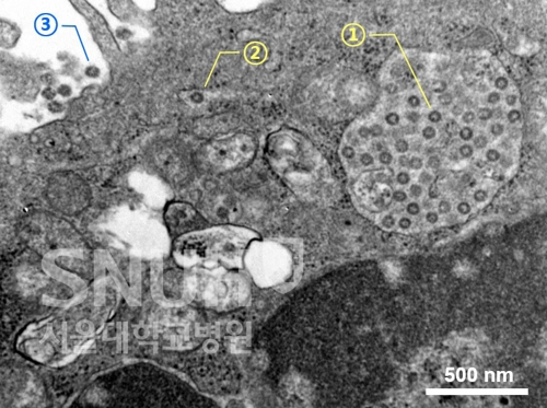
여기 서울대병원 감염내과에서 최초로
공개한 현미경 사진이 있습니다.
이 사진은 코로나19에 확진된 1번 환자로부터
바이러스를 분리, 배양하고 찍은 전자현미경 사진입니다.
①번은 세포 내에 가득 모여있는 바이러스 입자,
②번은 세포밖으로 이동 중인 바이러스 입자,
③번은 세포 밖으로 나온 바이러스 입자의 모습입니다.
코로나19 확진자가 겪었던 증상 중에서는
미각이나 후각의 마비 증상도 있었는데요.
이런 증상은 신경의학적 증세들입니다.

미국에서는 부검을 통해 코로나 19로 인해 영구적인
뇌세포 손상까지 이어질 수 있음이 밝혀졌습니다.
미국 보스턴 여성병원의 신경의학자인
아이작 솔로몬은 사망자 18명을 대상으로
뇌의 각 부분을 검사했는데요.
뇌에 침투한 바이러스는 소량에 불과했지만
산소 공급 부족으로 손상된 부위가 넓게 발견됐습니다.
이 같은 손상은 뇌가 산소를 제대로
공급받지 못해 신경세포가 죽고
그로 인해 남은 영구적인 손상인데
병원에서 장기 치료를 받은 중증환자,
갑자기 죽은 환자에게도 똑같이 나타났다고 합니다.

코로나 19에 감염되었다가
치료가 되어 일상적 생활로 돌아간다고 해도
치료 중 뇌손상이 진행되었다면
후에 어떤 증상으로 나타나게 될 지
모른다는게 큰 문제라고 말했습니다.
오늘은 이렇게 해외에서 말하는
코로나 증상과 사례에 대하여 포스팅했는데요.
제가 참고한 글들은 최근의 글들도 있지만
4월,5월등에 나왔던 참고자료가 많았습니다.
이미 전부터 해외에서는 꾸준히 코로나의
위험성에 대해 이야기해왔는데
우리가 관심이 없었다는 말이죠.
전 이런 글이 일종의 충격요법이라고 생각하고
꾸준히 접하야한다고 생각합니다.
더 이상 남의 일이 아니라는 생각이 들어야
당장이라도 나에게 일어날 법이라는
무서움이 생기고 예방을 더욱 철저히 하죠!
누가 봐도 전세계적인 재난 같은 이 상황에서
본인들의 부주의로 인해 코로나에 감염되고도,
국민 세금을 가지고 병원에서 치료를 받고 있으면서도
병원밥이 맛이 없다고, 내가 원하는 음식을 달라고
말하는 그들을 뉴스에서 보고 있자니
정말 머리가 아프고 마음이 아픕니다.

제 글을 보시는 분들에게
다시 한 번 말하고 싶습니다.
코로나는 몸살이나 감기와 같지 않습니다.
집 앞을 나갈때도 마스크를 꼭꼭 착용하고
본인의 생활과 타인의 생활을
소중히 여겨주세요ㅠ_ㅠ
'+ a > (글쓴이의 알쓸정보)(information)' 카테고리의 다른 글
| 반려동물에게 안전한 식물(2) (16) | 2020.08.31 |
|---|---|
| 태풍 영향권 실시간 날씨 확인하기! (7) | 2020.08.26 |
| 태풍 경로 확인하는 사이트 (14) | 2020.08.24 |
| 반려동물에게 안전한 식물! (12) | 2020.08.24 |
| 무서운 코로나 후유증 (21) | 2020.08.22 |
댓글
로그인이 풀린다면 "여기" 를 눌러주세욥!٩(๑❛ᴗ❛๑)۶