#소독의 시대

안녕하세요 여러분!
정말 지긋지긋한 코로나 시대 ㅠㅠ
몇 번을 강조해도 지나치지 않는 코로나의 위험성!
코로나 이야기 좀 그만하고 싶지만
공공의 안전을 목적으로 자꾸 관련된 정보를
포스팅하게 되네요....ㅠㅠ
이번에는 바로 우리가 정말 자주 사용할
코로나 소독제와 관련한 이야기입니다.
모든 가게가 확진자가 다녀가면 소독을 해야하고
그렇지않더라도 수시로 바이러스를 죽이기 위해
소독을 하는 요즘인데요.
경희대학교 동서의학 연구소의
박은정 교수님의 연구결과
현재 코로나 사태로 사용하고 있는
살균-소독제가 호흡기에 노출되면 폐 질환을
유발할 가능성이 있다는 결과가 나왔다고 합니다.
#영향을 미치는 성분은 바로 이것!

이때 영향을 미치는 것이
염화디데실디메틸암모늄(DDAC)인데
DDAC는 우리나라에서 2006년 발생한
가습기 살균제 사건의 주요 성분 중 하나입니다.
DDAC는 세균이나 바이러스 같은 미생물의
확산 차단을 위해 사용되는 물질이고
미국 환경청에 등록된 4급 암모늄 계열의
살균-소독제이지요.
박교수는 인간기관지 상피 세포와
실험용 쥐를 사용해 DDAC의 폐 질환
유도 가능성과 그 독성을 연구했는데
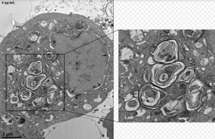
이 DDAC를 연구한 결과 4μg/mL의 농도에서
세포 생존율을 급격히 감소시키고
세포 내 소기관 손상과 함께
세포 자살과 세포막 손상을 유도한다고 하는데
정말 독한 물질임을 알 수 있는 대목이었습니다...

그리고 이 DDAC에 노출된 쥐와 세포에서는
라멜라 구조체가 형성되었고 이온을 함유하는
용액 내에서 그 구조가 뚜렷이 변화됐다고 합니다.
이 라멜라 구조체의 형성은 DDAC의 체내 축적
가능성을 높이는 결과를 가져와
DDAC에 반복적으로 노출되면 결국
폐 질환으로 이어질 수 있다고 합니다.
#올바른 살균-소독제 사용

일상속에서 소독을 잘 하는 것도 중요하지만
올바르게 하는 것 또한 나의 건강을 지킬 수 있는 방법입니다.
실제로 코로나를 예방하기 위하여
손에 소독제를 발랐는데 손이 퉁퉁부어서
병원치료를 받는 사례도 있다고 합니다.
소독약-세제가 손 습진의 원인… 꼼꼼히 씻고 보습제 발라야
신종 코로나바이러스 감염증(코로나19)이 장기화되면서 잦은 손씻기와 손소독제 사용이 일상화됐다. 물이나 비누, 소독제 등 자극적인 성분에 자주 노출되니 ‘손 습진’에 걸리는 사람…
www.donga.com
그렇기에 위험을 피하기 위해선 무차별한 소독보다는
올바른 방법에 따른 소독이 중요한데요.
올바른 살균-소독제 사용방법은 무엇일까요?
가장 중요시 되는 부분은
* 살균-소독제를 공기 중에 뿌리지 않아야하고,
* 밀폐된 공간에서 사용하는 것을 자제하고
* 염소계열의 소독제는 증발하면서 인체에 유해한
산 가스를 발생시키므로사용 후 반드시 환기는 필수!
* 손 소독제를 사용할 경우 사용 후
절대 입이나 코, 눈 등을 많지지 않아야하고
(별표 다섯개 ☆★☆★☆)
* 살균-소독제를 혼합해 사용하지 않아야 하고
* 제품 설명서에 기록된 사용법을 반드시 지켜야 합니다.
여기까지! 코로나 시대에서
소독-살균제의 위험성과 올바른 사용방법에
대하여 알아보았습니다~
소독은 무조건적으로 해야 모두가 안전한 거지만
올바른 방법으로 잘 소독해야
나의 건강을 지킬 수 있다는 점!
명심하세요~~~
코로나와 관련된 다른 글이 더 궁금하다면~
↓↓↓↓↓
코로나19의 위험성, 해외에서는 이미 주목하고 있었다
#코로나 경각심 필요 안녕하세요 여러분~~ 아무래도 상반기의 신천지 사태에 이어 다시 코로나에 따른 확산세가 늘어나고 있어 관련 소식을 많이 접하고 있는 요즘이에요. 이전에도 코로나에 후
smilesssun.com
무서운 코로나 후유증
#완치되어도 무섭다! 안녕하세요 여러분~ 오늘은 요즘 다시 확산세를 일으켜 매일 확진자 수가 급증하고 있어 문제인 코로나에 관한 이야기를 할까합니다. 위의 사진을 보신분들이 있을지 모르�
smilesssun.com
'+ a > (글쓴이의 알쓸정보)(information)' 카테고리의 다른 글
| 오리를 닮은 오리모양 토마토? (6) | 2020.09.04 |
|---|---|
| 지구온난화로 더 이상 빙하를 볼 수 없다? (14) | 2020.09.04 |
| 반려동물에게 안전한 식물(2) (16) | 2020.08.31 |
| 태풍 영향권 실시간 날씨 확인하기! (7) | 2020.08.26 |
| 코로나19의 위험성, 해외에서는 이미 주목하고 있었다 (15) | 2020.08.25 |
댓글
로그인이 풀린다면 "여기" 를 눌러주세욥!٩(๑❛ᴗ❛๑)۶