#건강하자 동물들아

안녕하세요 여러분~~
오늘은 동물의 유전병에 대하여 알아보려해요.
사람들이 키우는 반려동물의 대다수가
개와 고양이라는 것은 모두 알고 계시죠?
개와 고양이가 사람들이 많이 찾는 동물이라는
사실을 악용하여 자꾸 새로운
종을 탄생시키기 위해 적당한 검사를 실시하지도 않고
교배하고 동물실험을 하는 나쁜 사람들때문에
개와 고양이에서 특히
유전병이 심각하게 나타나고 있는데요.
그럼 그 중에서도 어떤 종이
유전병 발병률이 심할지 알아보는 시간을 가지도록해요.
#유전병이 심한 견종

유전병 발병률이 높은 견종으로는
골든리트리버, 불독, 프렌치불독,
잉글리시불독, 아메리칸불독 등 불독이 많습니다.
불독은 생김새때문에 호흡기쪽과 관절쪽에
유전병이 많이 나타난다고 알려져있지요.
불독은 그 특유의 자글자글한 주름과 납작한 얼굴로
많은 사랑을 받고 있는데 우리가 알고있는
불독의 얼굴은 나타난지 100년 정도밖에 되지 않았습니다.
그 전에는 어땠냐구요?

위의 사진이 100여년전의 불독의 모습입니다.
그때는 얼굴에 주름도 별로 없고 듬직한 모습이지요.
17세기 영국에서는 개와 황소를 싸움붙이고
그걸 구경하는 불 베이팅이 크게 유행했었는데요.
불독은 황소와 싸우게 하기 위하여 만들어진
개량된 난폭한 종이었습니다.
그러다 1778년 불 베이팅이 폐지되었고
불독은 더 이상 할 일이 없어졌지요.

그런 불독을 반려견으로 만들기 위하여
난폭한을 없애고, 체구를 작아지게 하기 위해
개량이 하기 시작했고 반복적인 근친교배가 이루어졌습니다.
그렇게 지금의 불독의 생김새가 나타나게 된 것입니다.
위의 사진보다 크기는 작아졌고,
얼굴의 주름은 많이 늘어난 모습이지요?
불독은 이로 인하여 현존하는 개의 종 중
가장 심각한 유전적 합병증은 얻은 종이 되었습니다.
불독은 유전병이 심하기로 많이
알려져 있는 종인데 리트리버는
정말 많이 키우는 견종인데도 유전병이
심하다는 사실을 모르고 계셨을 견주들이 많을거예요.

골든리트리버와 래브라도 리트리버 모두
50%가 고관절 이형성증이 있고
각종 암 발병률 1위를 차지하고 있답니다.
리트리버라는 종이 착하고 순하기로
알려져 있어서 그런지 우리나라뿐만 아니라
해외에서도 인기견종 1순위이고, 인기가 많기에
해야할 검사들은 모두 패스하고 마구잡이로
교배시키는 일이 일어납니다.
그렇게 해야 할 검사를 하지않고
마구 교배시키다보니 유전병이 증가하는 것은
당연히 따라오는 결과이지요.
리트리버로 태어났을 뿐인데
어떤 질병에 걸릴 확률이 50%라니...
인간의 이기심에 동물들만 피해를 볼 뿐입니다.
#유전병이 심한 묘종
유전병이 심한 묘종으로는
랙돌, 메인쿤, 먼치킨, 스코티쉬 폴드 등이 있습니다.
오늘은 사진을 보면 아~ 할 우리에게 흔한 묘종인
스코티쉬 폴드에 대해 이야기해보려고 합니다.


영화 '장화신은 고양이'의 주인공을
떠올리게 하는 동그란 큰 눈과
안쪽으로 접힌 귀가 참으로 사랑스럽죠?
이런 사랑스러운 모습이 처음부터 있던 건 아닙니다.
안으로 접힌 귀 모양, 다른 고양이들과 다르지요?
이것은 일부 스코티쉬 폴드 종에서
돌연변이 유전자로 인하여 일부 연골에
결손이 생겨 나타나는 증상인 겁니다.
처음에는 접히지 않는 귀를 가지고 태어나는데
3~4주가 지나면서 귓바퀴가 앞으로 접히게 되지요.
여기서 더 문제가 되는 것은
이런 증상이 나타나는 고양이는
나아가 귀뿐만 아니라 다른 관절에서도
통증을 겪게 될 수 있다는 점인데요.
다리나 꼬리 부분에서 증상이 나타날 경우에는
보행에 지장을 줄 뿐만 아니라 고양이의
남은 수명에도 영향을 끼칠 수 있는 큰 문제입니다.

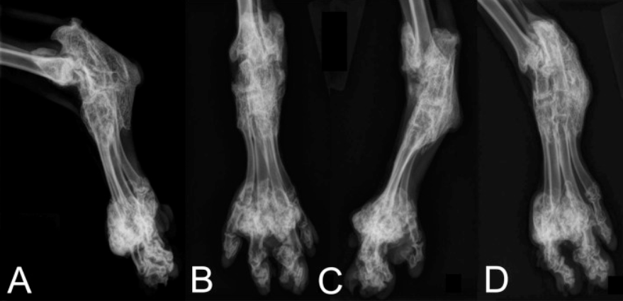
골연골 이형성증이 스코티쉬 폴드 유전병이라 불리는
스로티쉬 폴드라는 종에 유독 많이 발생하는 병인데요.
이 병은 뼈와 연골이 이형성되는 병으로 주로 꼬리,
척추, 발바닥, 사지 말단부에 뼈혹이
생기는 것이 특징입니다.

위 사진은 골연골 이형성증으로
사지말단부에 뼈혹이 과증식 된 모습입니다.
너무 끔직하고 아플 것 같지 않나요 ㅜㅜ
이 병은 명확한 치료법이 없습니다.
완치는 불가능하고 평생 통증을 완화해주는
관절 영양제나 보조제를 먹으며 살아야 합니다.
그렇기에 스코티쉬 폴드 종끼리
교배하지 않는것이 예방할 수 있는 근본적인 방법인데요.
하지만 그 특유의 귀여운 외모때문에
수요는 끊이질 않고 그걸 노리는 무식한 인간들 때문에
계속해서 인위적인 교배가 이루어지고 있고
스코티쉬 폴드는 평생 유전병의 위험을 가지고 살아가죠.
일부 사람들이 스코티쉬 폴드 종의
교배 및 분양 금지를 주장하면서 일부 유럽국가에서는
이를 받아들여 스코티쉬 폴드 간 교배를
법적으로 금지하고 교배시에는 전문가에서
검사를 받도록 규정하고는 있지만
우리나라에서는 아직 별다른 규제가 없어
끊임없이 성행하고 있는 실정입니다.

여기까지 개와 고양이의 종에 따른
유전병에 대하여 알아보았습니다.
어떤 무지한 사람들은 본인의 반려동물을 데려올 때
이런 사실을 고려하지 않고 겉모습이 귀엽다는 이유로
품종견이나 품종묘를 데려와놓고
나중에 유전적인 원인으로 병이 생겼을 때
버리는 경우가 잦다고 합니다.
보호소나 유기견 센터 등을 검색해보면
우리가 흔히 말하는 잡종, 똥개보다
종 이름이 있는 품종동물이
많이 버려지는 걸 볼 수 있어요.
방송에 한 번 품종견이나 품종묘가 뜨면
그 일은 더욱 빈번하게 발생한다고 합니다.
대중매체를 보고 귀여워보여 나도 데려왔는데
내 기대에 미치지 못하거나, 행동이 마음에 안들거나
그 종 특유의 병이 발생하면 가차없이 버리는 거지요.
제발 반려동물을 들일때는
신중하게 생각하시고 결정하기 바랍니다.
내가 데려오는 순간부터 그 동물은
평생을 나와 함께할 하나의 생명이니까요.
오늘의 동물정보는 여기서 마치겠습니다 ^__^
'귀여운 동물친구들 (animal)' 카테고리의 다른 글
| 톰과 제리의 톰은 어떤 고양이일까? (16) | 2020.08.27 |
|---|---|
| 부엉이와 올빼미 차이를 알아보자! (9) | 2020.08.22 |
| 사람을 가장 많이 죽인 동물은? (19) | 2020.08.17 |
| 누구 내 도토리 본 사람~ (19) | 2020.08.15 |
| 딱따구리의 머리, 괜찮을까? (8) | 2020.08.13 |
댓글
로그인이 풀린다면 "여기" 를 눌러주세욥!٩(๑❛ᴗ❛๑)۶